close
预约产品演示
请完善以下信息,我们将联系您进行演示
*
*
我已阅读并同意《隐私政策》
close
预约数据分析
请完善以下信息,我们将联系您进行沟通
*
*
我已阅读并同意《隐私政策》

往期精彩|OEM:新发现!长时间工作可能会改变大脑结构

发布:2026-01-06    浏览:19 次

在现代社会,工作已经成为了我们生活中不可或缺的一部分。无论是为了实现个人价值,还是为了满足生活需求,大多数人都需要投入大量的时间和精力在工作中。然而,随着工作压力的不断增加和竞争的日益激烈,过度工作现象也变得越来越普遍。许多职场人士常常面临着长时间加班、高强度工作的情况,甚至将996”“007”等高强度工作模式视为常态。过度工作不仅会对身体造成疲劳,还可能引发一系列健康问题。根据国际劳工组织(ILO)的估计,每年有超过80万人因长时间工作而死亡。长时间工作与心血管疾病、代谢紊乱以及心理健康问题(如抑郁和焦虑)的风险增加密切相关。这些研究结果让我们不禁思考:过度工作对我们的大脑是否也会产生影响?

2025415日,Occupational and Environmental MedicineIF=3.9上发表了一篇题为Overwork and changes in brain structure: a pilot study”的文章,这项研究首次探讨了过度工作对大脑结构的潜在影响,揭示了长时间工作与大脑结构变化之间的联系。研究结果表明,过度工作可能会导致大脑中与执行功能和情绪调节相关的区域发生显著变化。这一发现为我们理解过度工作对健康的长期影响提供了新的视角,也引发了我们对职场健康问题的进一步思考。

尽管过度工作对行为和心理的影响已被较好地理解,但其背后的神经机制和解剖学变化尚未明确。为了进一步探索这一问题,研究人员利用结构脑容量分析,比较了长时间工作对特定脑区的影响。研究人员以每周工作52小时或以上(定义为长时间工作)的医疗工作者为研究对象。研究数据来自加图立地区职业队列研究Gachon Regional Occupational Cohort Study, GROCS)以及一项关于工作条件对大脑结构影响的研究项目中的MRI扫描。GROCS的参与者被邀请接受额外的MRI扫描,最终分析包括110人(排除了数据缺失或MRI图像质量不佳的参与者)。其中大多数是临床医生:32人每周工作时间过长(占28%),78人工作标准时长。每周工作时间长的人比那些工作标准时长的人显著更年轻,工作年限更短,且受教育程度更高。

研究人员通过体素基础形态测量(VBM)和基于图谱的分析来评估大脑体积的差异。VBM是一种神经影像技术,用于识别和比较灰质水平的区域差异;而基于图谱的分析则利用预定义的参考来识别和标记像大脑扫描图像中的结构。

图片

基于图谱的体积提取和基于体素的形态计量学的流程图

本文涉及到的部分算法,在脑海科技多模态脑影像分析云平台可一键分析。平台内置一键式分析700+算法(包括fMRI、T1、DTI、MRS、QSM、机器学习等),用户无需学习代码,几天就可以掌握脑影像数据分析,欢迎添加微信号19906719439(樊老师)咨询产品相关

图片

比较分析结果显示,每周工作52小时或以上的人在与执行功能和情绪调节相关的大脑区域显示出显著变化,而每周工作标准时长的参与者则没有这种变化。例如,基于图谱的分析显示,与工作标准时长的人相比,长时间工作的人的中额回体积增加了19%。这一大脑区域在大脑的前额叶中扮演着重要角色,涉及注意力、工作记忆和语言处理等多种认知功能。VBM显示,在17个区域中,包括中额回、与注意力、计划和决策相关的上额回以及岛叶,都出现了峰值增长。岛叶在整合来自身体的感觉、运动和自主反馈方面发挥关键作用,涉及情绪处理、自我意识和理解社会背景。

图片

根据过度工作状态的分组差异以及基于图谱分析的每周工作时间与大脑体积之间的斯皮尔曼相关性分析结果

图片

根据过度工作状态的分组差异以及基于体素基础形态测量(VBM)非参数分析的每周工作时间与峰值之间的斯皮尔曼相关性分析结果

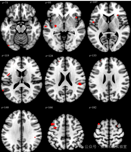
图片

基于体素的形态测量(VBM)分析结果图

图中展示的是VBM分析的结果,其中红色区域标示了在过度劳累组中灰质体积显著增加的大脑区域。这些红色区域在统计上显示出与非过度劳累组相比具有显著性差异(p<0.05,经过家族错误率(family-wise error, FWE)校正),这意味着这些区域的灰质体积增加不太可能是由随机变化引起的。

图中的每个切片都对应大脑的一个特定Z坐标,这是在标准空间中的位置,用于确保不同个体的大脑图像可以准确对齐和比较。结果图表明,与非过度工作组相比,过度工作组在17个区域的VBM峰值显著更高(p<0.05FWE校正)。这些区域包括左中额回、左中央前回、左中央盖、双侧上额回(背外侧)、右上颞回和左岛叶皮层。在过度工作组内进行的Spearman相关性分析显示,每周工作小时数与左中额回、左中央前回、左中央盖、左上额回、右上颞回和左岛叶皮层的VBM峰值之间存在显著正相关。这些发现表明,增加的工作量与与执行功能和情绪调节相关的脑区体积变化之间可能存在潜在关系。

这是一项小型的观察性快照研究,因此无法得出关于因果关系的明确结论。研究人员也承认,在缺乏长期数据的情况下,目前尚不清楚这些结构变化是过度工作的结果,还是导致过度工作的潜在因素。

但研究人员仍然指出:“尽管由于这项初步研究的探索性,结果应谨慎解读,但它们代表了理解过度工作与大脑健康关系的重要第一步。”

研究人员补充道:“值得注意的是,过度工作个体中观察到的大脑体积增加可能反映了对慢性职业压力的神经适应性反应,尽管确切机制仍属推测。观察到的大脑体积变化可能为过度工作个体常报告的认知和情绪挑战提供了生物学基础。未来需要进行纵向和多模态神经影像学研究来确认这些发现,并阐明其背后的机制。”

最后,研究人员总结道:这些结果强调了将过度工作视为职业健康问题的重要性,并突显了制定减少过度工作时间的职场政策的必要性。

研究通过基于体素的形态测量(VBM)和基于图谱的分析,发现过度工作与大脑结构变化相关,特别是在与执行功能和情绪调节相关的区域。研究结果为理解长时间工作对认知和情绪健康的潜在影响提供了初步神经生物学证据,并强调了进一步研究的必要性,以揭示这些变化背后的机制并制定相应的职业健康政策。

参考文献:

Jang W, Kim S, Kim Y, et al. Overwork and changes in brain structure: a pilot study. Occup Environ Med 2025;82(3):105111; doi: 10.1136/oemed-2025-110057.

资讯来源:

https://medicalxpress.com/news/2025-05-hours-brain-preliminary.html


解读成员 | 柴逸凡

审核成员 | 薛晓萌

上一篇:PANS:深度睡眠通过脑脊液和神经节律巩固记忆
下一篇:eClinicalMedicine:使用可解释的人工智能从功能磁共振成像数据中识别孤独症诊断的关键大脑区域