close
预约产品演示
请完善以下信息,我们将联系您进行演示
*
*
我已阅读并同意《隐私政策》
close
预约数据分析
请完善以下信息,我们将联系您进行沟通
*
*
我已阅读并同意《隐私政策》

PANS:深度睡眠通过脑脊液和神经节律巩固记忆

发布:2026-01-05    浏览:23 次

人类为何需要睡眠?科学家认为,睡眠有助于巩固记忆,并清除大脑在清醒状态下因神经活动而堆积的代谢废物。尽管已有研究表明睡眠中的CSF流动与代谢废物清除相关,但其在健康人脑中的具体机制尚不清楚。

2025107Makoto Uji及其研究团队在Proceedings of the National Academy of Sciences of the United States of AmericaIF=9.1上发表题为“Human deep sleep facilitates cerebrospinal fluid dynamics linked to spontaneous brain oscillations and neural events”的文章。该研究通过结合稀疏功能磁共振成像(fMRI)与多导睡眠监测(PSG),揭示了深度睡眠中脑脊液(CSF)动态与自发脑振荡及神经事件之间的密切关系。结果显示,深度睡眠的慢波和睡眠纺锤波对应CSF短周期、高频且中等振幅的波动,而浅睡眠慢波仅引起缓慢、低频的CSF变化;REM睡眠期的快速眼动和锯齿波同样伴随CSF信号改变。该研究首次在健康人群中刻画了深度睡眠特异性的CSF动态及其对应的脑网络活动,为理解深度睡眠维持大脑健康的机制提供了新视角,并为基于CSF调控的非侵入式睡眠与神经退行性疾病干预策略奠定了理论基础。
图片
本文涉及到的部分算法,在脑海科技多模态脑影像分析云平台可一键分析。平台内置一键式分析700+算法(包括fMRI、T1、DTI、MRS、QSM、机器学习等),用户无需学习代码,几天就可以掌握脑影像数据分析,欢迎添加微信号19906719439(樊老师)咨询产品相关

图片

睡眠被认为能调节脑脊液的流动 ,因此可能对清除这些废物非常重要。然而理解深度睡眠在控制脑脊液动力学中的作用一直具有挑战性,部分原因是通常用于观察来自液体信号的方法功能性磁共振成像(MRI)声音极为响亮。这使得人们很难进入深度睡眠并保持足够长时间以收集有意义的数据。

为解决这一问题,研究团队团队采用了稀疏的功能性 MRI,这种设备并非连续作。相反,大约每 3 秒进行一次扫描,扫描间的静默让人们进入深度睡眠。当人们在 MRI 扫描仪中睡觉时,脑电波也会被记录,因为慢波被认为对控制脑脊液很重要。

图片

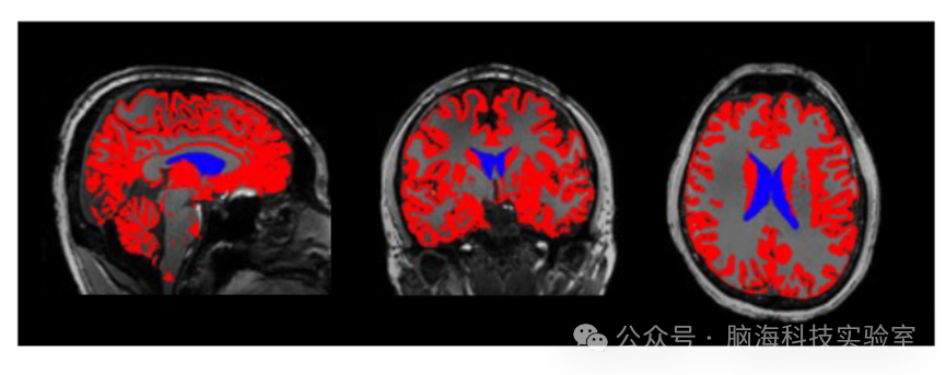
脑部 MRI 图像,侧脑室以蓝色涂成,脑室充满脑脊液。

研究人员发现,不同睡眠阶段中,来自大脑液体充盈区域的 fMRI 信号变化有明显差异。在深度非快速眼动睡眠中,缓慢的脑波和其他事件会在 8 秒内频繁地增加中等大小的信号。在浅睡眠和唤醒时,模式截然不同,慢波会触发信号的急剧增强,且信号更慢且频率较低。REM 睡眠也影响了信号,但变化持续了将近 30 秒,而且非常微小。

睡眠阶段也与不同大脑网络的活动相关。与浅睡眠相比,学习和记忆相关的大脑区域,如海马体和额叶皮层 ,在慢波睡眠期间更为活跃。综合两项结果,当记忆网络在深度睡眠中活跃时, 缓慢的脑波对脑脊液信号有特定影响,而这在其他睡眠阶段不同脑区更活跃时不会出现。

这些发现为何稳定睡眠对正常大脑功能,特别是在控制学习和记忆的大脑网络中重要提供了线索。深度睡眠对脑脊液信号的影响与浅睡眠、快速眼动睡眠或觉醒不同,信号的快速但适度增加可能与去除学习与记忆大脑网络中白天容易积累的特定废物的过程有关。

参考文献

Uji M, Li X, Saotome A, et al. Human deep sleep facilitates cerebrospinal fluid dynamics linked to spontaneous brain oscillations and neural events. Proc Natl Acad Sci 2025;122(41).

资讯来源

https://medicalxpress.com/news/2025-10-deep-memory-brain-fluid-neural.html

解读:苏亚涛

审核:张航

上一篇:往期精彩|Nat. Hum. Behav:全身麻醉降低人脑功能连接独特性
下一篇:往期精彩|OEM:新发现!长时间工作可能会改变大脑结构