close
预约产品演示
请完善以下信息,我们将联系您进行演示
*
*
我已阅读并同意《隐私政策》
close
预约数据分析
请完善以下信息,我们将联系您进行沟通
*
*
我已阅读并同意《隐私政策》

脑海科技产品介绍 | 多模态脑影像质量控制系统

发布:2026-04-29    浏览:8 次

   核心定位   

多模态脑影像质量控制系统支持一键式生成可视化质控报告,帮助节省手动筛查脑影像数据的时间,实现数据标准化,为科研提供完整被试信息视图,保障数据纳入符合科学研究的规范,数据质量在整个科研环节中的一致性。

   功能架构   

从数据到质控报告,五步流程让脑影像质控规范、高效。

功能架构.png

   功能亮点   

功能亮点-一键式执行.png

一键式执行

告别数据手动逐例检查,避免手动操作不一致,结果可复现。

功能亮点-可视化详情报告.png

可视化详细报告

自动生成包含脑影像参数、人口学信息图表的可视化报告,省去检验结果整理的繁琐。

功能亮点-数据规范化.png

数据规范化

统一质控标准,确保多批次数据一致性,符合科研要求和规范。

功能亮点-高效率纳排.png

高效率纳排

灵活定义筛除规则,避免手动筛选遗漏或误判。

   产品组成   

三款软件可针对不同脑影像模态进行专项质量控制:

   产品功能介绍   

01

各模态核心质控功能

——多序列独立设置,质控更有针对性

(一)功能像

1. 头动筛查:根据头动信息筛选出头动过大被试,保证数据质量。

2. 方案灵活性:可选择生成“简洁版”或“完整版”报告,满足不同影像科研场景。

3. 高级质控模块:支持AFNI、fMRIPrep、MRIQC-Bold等较高级质量控制选项,实现更精细的被试筛选。

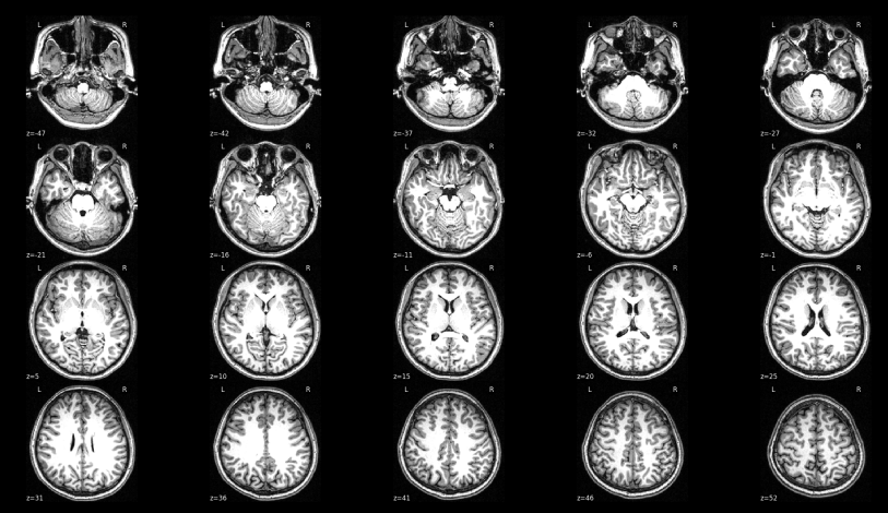
(二)结构像

1. 图像分割与参数设置:支持灰质/白质分割,可设置原始空间(Native space)、调制标准化(Modulated normalized)等参数。

2. 报告生成设置:支持勾选原始图像轴位图、CAT12分割报告及灰白质调制图,全面展示结构像分割质量。

3. 分割质量检查:输出分割结果可视化,便于确认组织分类准确性。

结构像2.png

结构像.png

(三)弥散像

1. 梯度方向检查:自动校验梯度表与图像匹配情况。

2. 数据校正:运行提取b0像、涡流校正等步骤,确保弥散指标可靠性。

3. 弥散张量指标分析:计算FA、MD等常用弥散参数的质量评估。

image.png

02

任务配置与运行

——简单参数即可启动,一键式极简操作

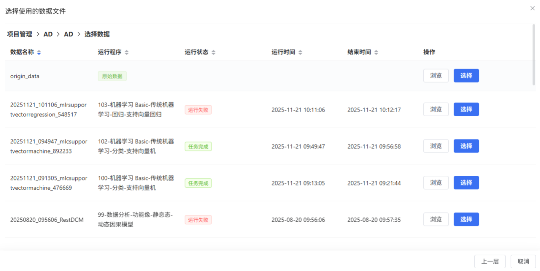
(一)目标数据集选择

支持选择功能像、结构像、弥散像数据集,各影像模态质量控制独立运行。

(二)参数设置

仅需填写少量扫描参数,即可一键启动质控任务。

参数设置.png

03

被试筛除与报告导出

——多维度质控报告产出,被试轻松纳排

(一)质控报告生成

1.被试回顾:在报告界面可回顾当前被试的基本情况,确认被试信息。

2. 影像参数报告:输出影像参数检查结果,和所有被试的基本头信息检查结果。

影像参数报告.png

3. 人口学信息报告:自动生成年龄、受教育程度等人口学统计图表,为脑影像科研提供直观的被试人群特征总览。

(二)结果下载与推送

1. 结果下载:支持筛选下载或下载全部质控结果,如表格、报告、日志等。

2. 对接脑影像数据库

  • 推送至脑影像数据库:一键将质量控制结果推送至脑影像数据库中对应的数据集详情页中,相关记录可追溯。

  • 任务流程关联:质控任务可在脑影像数据库的项目管理页面中进行统计,关联该数据集下任务流程。

(三)纳排工作流

自定义多步骤的筛选规则,如第一步筛除头动过大被试,第二步筛除年龄过大被试,精准构建符合研究要求的被试队列。

04

任务追踪与管理

——多任务并行追踪,合理分配科研资源

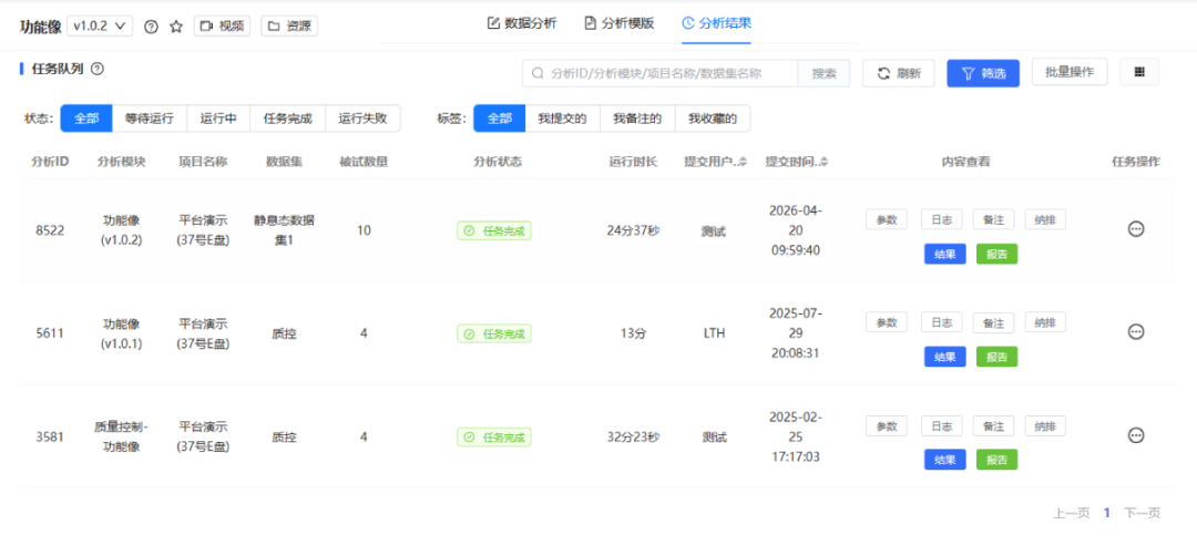
(一)任务队列管理

分装台查看任务队列,按“等待运行”、“运行中”、“已完成”快速筛选,支持按提交时间/用户排序。

(二)质控日志

实时监控步骤进展,任务失败时提供原因提示,便于调整参数后重试。

(三)重新运行

直接复用或编辑已有参数,一键重新执行。

(四)收藏任务

将常用任务加入收藏,便于快速调取;支持设置收藏权重,筛选重要任务。

05

参数模板与资源监控

——通用模板一键复用,资源情况一览无余

(一)质控参数模板管理

保存、查看、删除自定义模板,支持一键复用或快速修改,可查看演示例子数据。

(二)查看资源报告

监控任务占用的CPU、内存、磁盘IO等平台资源,可查看使用趋势与详情。

06

学习支持与维护

——视频文档配套教学,版本更新有记录

(一)快速上手支持

配套完整的培训视频体系。

(二) 使用指南

提供详细的质量控制操作文档,手把手教学。

多模态脑影像质量控制系统

让数据检验不再烦琐统一标准,自主纳排;任务日志清晰,数据一键重跑;多人协作,结果共享,团队科研效率倍增。

关于我们

杭州脑海科技有限公司成立于2020年,现位于萧山区紫橙国际创新中心3号楼6层及10层。脑海科技是一家专注于研发神经影像科研平台及硬件产品的科技公司。目前公司销售的产品包括: 1)神经影像数据库及质量控制平台,2)静息态功能磁共振智能分析平台,3)脑结构智能分析平台,4)大脑弥散像智能分析平台,5)任务态功能磁共振实验呈现及分析平台,6)基于啮齿类动物的神经影像智能分析平台,7)生物医学影像多维数据处理软件,8)高性能计算工作站及服务器,9)提供实验室整体建设与设备集成方案,围绕脑功能研究与神经调控应用需求,解决方案涵盖脑电(EEG)、近红外(fNIRS)、经颅磁刺激(TMS)及其配套导航系统等,完成方案设计到系统落地的全流程支持。目前已被认定为“国家级高新技术企业”,入选杭州市萧山区高层次人才创业创新“5213”领航类项目,通过ISO9001质量管理体系认证,经杭州市科协审批建立了“博士创新站”,并获萧山区科协“第二批”重点支持资助。

联系我们

  • 关注“脑海科技”公众号,获取产品最新动态;

  • 如果您对以上产品及功能感兴趣,请联系我们咨询产品详情,预约产品演示;

  • 添加微信后可备注“医院科室+名字”,提供感兴趣的产品名称「多模态质量控制系统」;

  • 我们可更好地了解到您的需求,更快提供详尽的产品细节信息。

联系电话:19906719439(微信同号)联系热线:0571-2883-4398企业网站https://www.brainimaging.cn/

点击下方图片了解其他产品:


上一篇:脑海科技产品介绍 | 脑影像数据库
下一篇:脑海科技产品介绍 | 多模态脑影像数据分析集成平台