close
预约产品演示
请完善以下信息,我们将联系您进行演示
*
*
我已阅读并同意《隐私政策》
close
预约数据分析
请完善以下信息,我们将联系您进行沟通
*
*
我已阅读并同意《隐私政策》

Alzheimers & Dementia:成人唐氏综合症患者心肺健康与静息态功能连接之间的关联

发布:2025-11-26    浏览:109 次

简要总结

这篇文章探讨了唐氏综合征(Down's SyndromeDS)成年人的心肺健康与静息态功能连接(Functional ConnectivityFC)之间的关系。研究使用了来自40DS成年人(平均年龄26岁,58%为女性)的基线数据,这些数据来自一项干预研究。通过静息态功能磁共振成像(functional Magnetic Resonance ImagingfMRI)测量了从后扣带回皮层种子到默认模式网络(Default Mode NetworkDMN)节点的连接性,并通过最大运动试验测量了心肺健康。研究发现,心肺健康与整体DMN连接性(r=0.472p=0.004)和内侧前额叶皮层连接性(r=0.431p=0.010)相关,即使在调整了年龄和性别后,这种关联仍然显著(β=0.0072p=0.04)。然而,中等至剧烈体力活动(Moderate to Vigorous Physical ActivityMVPA)与DMN连接性之间没有发现关联。研究表明,心肺健康可能是DS成年人DMN连接性的一个重要预测因子,这可能对阿尔茨海默病(Alzheimer's DiseaseAD)的预防或延缓有潜在的治疗意义。

摘要

引言:默认模式网络(DMN)的静息态功能连接(FC)与唐氏综合征(DS)人群的阿尔茨海默病相关。在非DS成年人群中,心肺适能与DMN功能连接存在关联,但此关系在DS群体中尚未得到探索。

方法:本研究采用DS成年人干预项目的基线数据。通过静息态功能磁共振成像测量后扣带皮层种子点到DMN节点的连接强度,采用最大负荷跑步机测试评估心肺适能。使用皮尔逊相关分析和线性回归检验适能与功能连接间的关联。

结果:40DS成年人(平均26.0岁,58%女性)数据显示,适能水平与整体DMN连接强度(r=0.472p=0.004)及内侧前额叶皮层连接强度(r=0.431p=0.010)显著相关。经年龄和性别校正后,适能与DMN功能连接的关联仍保持显著(β=0.0072p=0.04)。

讨论:心肺适能可能与DS患者的默认模式网络功能连接存在关联。

关键词:阿尔茨海默病;唐氏综合征;适能;功能连接;智力障碍;身体活动。

引言

唐氏综合征(DS),又称21三体综合征,是导致智力障碍的最常见遗传原因。在过去几十年中,唐氏综合征患者的中位预期寿命从20世纪50年代的4岁增加到2020年代的约60岁,这一增长主要归因于对唐氏综合征患者的医疗护理的改善。然而,随着预期寿命的增加,唐氏综合征患者也面临一些与年龄相关的挑战。例如,几乎所有唐氏综合征患者都会发展出与阿尔茨海默病(AD)相关的病理变化。这种高发病率是由于21号染色体上额外的淀粉样前体蛋白基因导致的淀粉样βAβ)过度产生,加速了神经退行性变、氧化应激、斑块沉积和类似AD病理的早期发展。研究表明,与普通成年人相比,唐氏综合征成年人的Aβ沉积发生得更早,其痴呆症的终生发病率为90%,中位发病年龄为53.8岁。然而,近期的一项综述发现,唐氏综合征患者中AD发病的个体差异显著(25年),这表明即使在Aβ阳性的背景下,痴呆症的风险也是可调节的。

默认模式网络(DMN)是一组在没有外部刺激或休息时(如白日梦、自传体记忆或内省)活动增加的大脑区域,这些区域在神经退行性疾病如AD中被观察到受到干扰。DMN包括前额叶皮层、角回、楔前叶/后扣带回皮层和颞叶区域。在一项使用英国生物银行数据(n=81名发展为痴呆症的个体,n=1030名匹配对照)的纵向研究中,DMN连接性的降低预测了未来痴呆症的发生。近期对唐氏综合征患者的研究表明,DMN的静息态FC降低是早期AD生物标志物,并可能与顶叶皮层的Aβ积累有关。鉴于DMN连接性与AD的关联以及其作为普通人群中AD临床前生物标志物的潜力,研究唐氏综合征患者中这种关联并识别维持连接性的相关因素至关重要。

在普通成年人中,可修改的生活方式因素,如中等至剧烈体力活动(MVPA)和心肺健康,具有神经保护作用,可能降低AD的风险或延缓其发病。MVPA是衡量体力活动参与度的指标,与AD的结果相关。通过自我报告问卷评估的中年期休闲体力活动与AD发病的低风险相关(n=1449,基于人群的调查,平均随访21年)。此外,在308名没有DS的成年人样本中,10年内较高的体力活动参与度与后DMN连接性和灌注相关。

心肺健康指标,包括运动中的峰值氧气摄入量(VOpeak),也显示出与普通人群中AD结果的关联。心肺健康与改善的脑动脉顺应性和更大的脑体积相关,这表明心肺健康较高的人可能具有更有效的脑代谢和脑氧利用。使用fMRI的研究表明,心肺健康较高与多种认知任务中前扣带回、外侧前额叶和外侧顶叶皮层的优越脑激活相关。心肺健康与DMN连接性的增加相关,特别是在老年人中。然而,尚未发现之前有关这些生活方式因素与唐氏综合征成年人的FC之间关联的研究。此外,由于MVPA和心肺健康捕捉了体力活动和健康的独特方面,并且并不总是相关,因此将它们作为DMN连接性的预测因子在这一人群中分别进行研究是重要的。

本研究的目的是测量唐氏综合征成年人的MVPA和心肺健康与使用fMRI测量的DMNFC之间的关联。假设较高的心肺健康和较高的MVPA与较高的FC水平相关。
本文涉及到的部分算法,在脑海科技多模态脑影像分析云平台可一键分析。平台内置一键式分析700+算法(包括fMRI、T1、DTI、MRS、QSM、机器学习等),用户无需学习代码,几天就可以掌握脑影像数据分析,欢迎添加微信号19906719439(樊老师)咨询产品相关

08b774f7-ffea-4798-b22b-586c2bdb2ccc.png

方法

2.1 参与者

该研究的原始临床试验(母研究,n=81)的参与者为居住在家中的成年唐氏综合征患者(年龄≥18岁),他们与父母或监护人同住,或居住在有护理人员的支持性生活环境中,并且护理人员同意作为研究伙伴。其他纳入标准包括由护理人员确定的轻度至中度智力障碍、足够的功能能力以理解指令、通过口语进行交流的能力、参与体力活动并能独立行走10英尺,以及家中有互联网接入。如果参与者符合以下条件,则被排除:通过智力障碍人士痴呆筛查问卷(DSQIID)确定患有痴呆症、参与规律的锻炼计划(即,每天≥20分钟,每周≥3天)、存在严重的医疗风险(如癌症或近期的心脏事件,由初级保健提供者评估)、无法参与中等至剧烈体力活动(MVPA),或存在MRI的禁忌症。通过当地为唐氏综合征成年人提供服务的组织(例如,唐氏综合征协会、日间服务项目、诊所以及由Medicare资助的社区发育障碍组织)发布的传单、邮件列表和社交媒体帖子招募参与者。参与者可能与家庭成员同住、独居或与室友同住,或居住在支持性集体生活环境中。潜在参与者的护理人员被要求联系研究协调员,后者解答有关研究的问题,并进行初步的参与者资格筛选,包括有关参与者功能能力、沟通技巧和DSQIID的问题。随后,与那些仍然感兴趣且可能符合资格的人安排家庭访问或视频会议,以确定最终资格并获得同意。

2.2 体力活动评估

使用ActiGraph wGT3XBT三轴加速度计(ActiGraph LLC,美国佛罗里达州彭萨科拉)在非优势侧髋部的前腋线处连续佩戴7天,在清醒时间进行中等至剧烈体力活动(MVPA)的评估。ActiGraph设备的垂直轴数据以60秒为一个时间间隔进行聚合,使用ActiLife软件版本6.13.3ActiGraph LLC,美国佛罗里达州彭萨科拉)进行初始化和下载。非佩戴时间被定义为至少连续90分钟的零计数,允许在零到100计数/分钟之间有12分钟的活动。每分钟计数≥20,000的计数被认为是异常的。要求至少有3天(包括1个周末日)的佩戴时间≥8小时,才纳入分析。使用2003-2004年和2005-2006年美国国家健康与营养检查调查(NHANES)的垂直轴ActiGraph截断点,将分钟数分类为MVPA(≥3METs;≥2020计数/分钟)。

点击下方链接了解平台更多算法:

(1)基于Fixel分析太难?脑海科技多模态脑影像云平台一键解锁白质纤维束全分析流程!

(2)你的大脑竟在“秘密切换状态”?隐马尔可夫模型带你看见动态的大脑!——脑海科技多模态脑影像云平台,一键完成脑动态研究
(3)临床科研双加速|无需代码实现白质功能协变网络分析,一键产出SCI级结果
(4)高阶功能连接分析:脑海科技多模态脑影像云平台助力临床医生探索大脑高阶特性
(5)GSCORR:从“噪声”到“脑疾病解码器”——脑海科技多模态脑影像云平台,一键解锁大脑功能分析
(6)告别繁琐流程!基于源的形态学分析(SBM)进入一键式智能时代
(7)告别繁琐流程!脑海科技分析平台助您一键产出SCI级形态学网络结果
(8)一键生成个体形态脑网络!拓扑指标全自动分析!
(9)CaSCN分析揭示大脑结构变化的“多米诺骨牌效应”!脑海科技多模态脑影像云平台一键解析脑区间的因果传导链,让顶刊发现触手可及!
(10)DTI-ALPS:一键揭秘脑类淋巴系统,助力神经疾病精准诊疗
(11)GCA解码大脑因果网络:脑海科技多模态脑影像云平台一键式产出SCI级结果
(12)大脑里居然有“聊天记录”!动态因果模型曝光脑区间的秘密对话!——脑海科技多模态脑影像云平台,一键完成“对话”解析
(13)MRI中的“髓鞘探测器”:T1w/T2w比值揭秘
(14)大脑暗藏"帧间表情包"!FOCA破译局部神经的时空协作密码—脑海科技多模态脑影像云平台,一键生成3D像素剧场的“双优成绩单”

(15)捕获大脑的“高光时刻”!高振幅共波动分析揭秘全脑协同爆发瞬间:脑海科技脑影像云平台,秒级定位“关键帧”

2.3 心肺健康评估

心肺健康(VOpeak)以mL/kg/min为单位,通过最大运动试验进行评估,遵循Fernhall等人针对唐氏综合征成年人开发的协议。使用间接热量测量法(ParvoMedics TrueOne 2300,美国犹他州盐湖城)测量呼出的OCO,在每次测试前根据制造商建议,使用已知体积和气体浓度进行校准。在跑步机协议过程中,每15秒间隔对值进行平均。如果参与者无法保持跑步机速度或在跑步机协议期间的任何时候要求停止测试,则终止运动测试。否则,当参与者达到以下两个或更多标准时,测试终止:(1)自愿性疲劳,(2VO平台,即<150mL/min或心率(HR<2/分钟,随着工作率的增加,(3)使用Fernhall等人的公式预测的HRPeak内的5/分钟的心率,(4)呼吸交换率≥1.0。只有达到呼吸交换率≥1.0HRHRPeak内的10/分钟的参与者才被纳入分析。

2.4 神经影像学检查

在德国埃尔朗根的西门子Skyra 3T扫描仪上进行扫描,该扫描仪配备有20通道头部线圈。在完成自动侦察图像采集和匀场程序以优化磁场均匀性后,参与者完成了一个40分钟的扫描,包括结构(MPRAGE)、静息态功能磁共振成像(rs-fMRI)、弥散张量成像和动脉自旋标记(ASL)序列。参与者可以在程序的任何时间终止扫描。使用梯度回波多带EPI序列(重复时间/回波时间=1000/40ms,多带因子=8,切片厚度=2.5mm,平面内分辨率=2.5mm64切片,480次测量)进行rs-fMRI,扫描持续8分钟。使用AFNI软件包进行数据预处理和统计分析,遵循其标准建议。使用afni_proc.py命令生成预处理脚本,包括切片时间校正、运动校正、对齐、空间平滑和归一化。对于每位参与者,使用非线性配准(AFNI命令@SSwarper)将MPRAGE数据去颅骨并归一化到标准蒙特利尔神经学研究所(MNI)空间。通过将rsfMRI图像重新对齐到最小离群值来校正运动。运动>0.2mm的体积数据被剔除。根据AFNI的建议,剔除运动数据之前的离群值和运动体积。剔除后,rs-fMRI的持续时间为平均245秒(范围:26478秒)。所有可用数据均被纳入分析,因为先前的研究表明,剔除不会对组分析产生偏差。使用Biopac MP150AcqKnowledge 5软件(美国加利福尼亚州戈利塔的BIOPAC Systems公司)在扫描仪中测量心率和呼吸,并使用Biopac MR可比呼吸带和脉搏容积描记器。9%的参与者没有可用的生理回归器,其数据在没有该校正的情况下进行处理。将这些生理回归器从每个体素中减去,得到每个体素的残差时间过程。然后,将残差时间过程用4mm全宽半高斯核进行平滑,重新采样到2.5×2.5×2.5mm网格,并转换到MNI空间。

使用后扣带回皮层种子识别DMN感兴趣区域(ROI)。在(x,y,z=0,-56,28)处创建一个5mm半径的球形后扣带回种子。从后扣带回种子区域提取平均时间过程,并运行回归以计算每个体素与种子的皮尔逊相关性。然后,将相关系数转换为Fisher-z变换值(z分数),以便进行组分析。

使用z分数进行全脑3dttest++,以确定与后扣带回种子显著连接的ROI,以索引样本中的DMN连接。在p<0.01假发现率(FDR)校正后得到的DMN连接图(图1)用于识别DMN特定的ROI。分析确定了四个与后扣带回种子显著连接的ROI,包括完整的DMN图、内侧前额叶皮层(MPFC x,y,z=-3,51,-12)、左顶叶皮层(LPAR x,y,z=-58,-67,25)和右顶叶皮层(RPAR x,y,z=45,-67,38)。接下来,在每个ROI的峰值体素周围创建5mm半径的球形种子。使用3dROIstatsROI种子以及完整的DMN图中提取平均z分数,并导出以进行组分析,以检查DMN内的FC(即,每个ROIz分数)与心肺健康之间的关系。

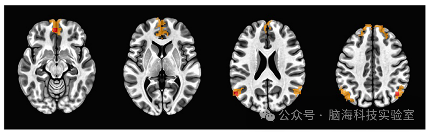
图片

分析中包含的感兴趣区种子上的DMN地图的轴向视图。DMN,默认模式网络;投资回报率,感兴趣区域。

2.5 统计分析

样本特征采用均值±标准差或频数(百分比)描述人口统计学(包括年龄、种族、民族、支持水平)、人体测量学(包括身高、体重、身体质量指数)、加速度计测量(中高强度体力活动,MVPA)和心肺适能(峰值摄氧量,VO2peak)指标。对主要预测因子(即峰值摄氧量和中高强度体力活动)与结局指标(即功能连接测量值)通过可视化检查(包括直方图和Q-Q图)及Shapiro-Wilk检验进行正态性评估。经可视化检查和Shapiro-Wilk检验确认,峰值摄氧量、整体默认模式网络连接强度及后扣带皮层至内侧前额叶皮层连接强度均符合正态分布。所有其他指标(中高强度体力活动及后扣带皮层至左、右顶叶皮层连接强度)虽呈轻微右偏态,但接近正态分布,故本研究采用参数检验。通过皮尔逊相关分析描述中高强度体力活动或心肺适能分别与后扣带皮层种子点至各默认模式网络脑区(以z分数表征)及全脑默认模式网络图谱功能连接的关联性。采用线性回归模型,在调整年龄和性别因素后,进一步探讨中高强度体力活动或心肺适能对唐氏综合征成人患者默认模式网络连接的影响。本研究同时使用皮尔逊相关分析评估该样本中高强度体力活动与峰值摄氧量的关联性。所有分析均通过R软件(版本4.2.2)完成。

3. 结果

3.1 受试者特征

共有40名唐氏综合征成人参与了这项分析,他们均来自母研究并完成了用于分析的功能磁共振成像(fMRI)。在40名参与者中,35人成功完成了心肺功能测试,31人提供了符合之前概述标准的有效加速度计数据。样本特征如表1所示。参与者的平均年龄为26.0±7.8岁,年龄范围为1845岁。大多数参与者为非西班牙裔白人(83%),平均体质指数(BMI)为33.2±6.6 kg/m²,平均中等至剧烈体力活动(MVPA)为13.4±14.8分钟/天,基线最大摄氧量(VOpeak)为20.2±4.2 mL/kg/min。在本样本中,MVPAVOpeak之间无关联(r=0.02p=0.89)。

患有唐氏综合症的成年人的样本特征。

图片

3.2 心肺功能与MVPA与功能连接的关联

采用皮尔逊相关性分析评估VOpeakMVPA与整体默认模式网络(DMN)连接性以及后扣带回皮层(PCC)种子与各感兴趣区(ROI)种子之间连接性的相关性(见表2)。在未调整的模型中,VOpeak与整体DMN连接性(r=0.472p=0.004)以及PCC种子与内侧前额叶皮层(MPFC)之间的连接性(r=0.431p=0.010)相关,但与左或右顶叶皮层无关。为确定这种关联是否仅限于特定的MPFC ROI,还进行了PCC种子与VOpeak的全脑关联性分析,但未得出具有统计学意义的结果。MVPA与整体DMN连接性或任何单独ROI种子的连接性之间均无显著关联。在通过线性回归调整年龄和性别后(见表3),VOpeak仍是整体DMN连接性的显著预测因子(见图2)(β=0.0072p=0.04)。然而,调整混杂因素后,VOpeakMPFC连接性之间的关联仅略高于显著性阈值(β=0.011p=0.07)。在调整后的模型中,VOpeak与左、右顶叶皮层的连接性之间以及MVPA与任何区域的FC之间均无显著关联。

静息状态功能连接性Pearson与心肺健康和MVPA的相关性。

图片

使用线性回归分析心肺适能和MVPA对静息状态FC的影响。

图片

采用经年龄和性别校正的线性回归分析后扣带皮层与全脑默认模式网络模板平均连接强度和峰值摄氧量的关联。图中线性回归拟合线及95%置信区间所示。各数据点代表研究对象,点的大小随年龄(范围:1845岁)递增。注:β为线性回归系数估计值;DMN指默认模式网络;PCC指后扣带皮层;VO2指摄氧量。

讨论

本研究的目的是评估中等至剧烈体力活动(MVPA)和心肺功能对唐氏综合征(DS)成人默认模式网络(DMN)功能连接性的影响。研究结果显示,心肺功能增强与整体DMN功能连接性以及内侧前额叶皮层(MPFC)和后扣带回皮层(PCC)的功能连接性提高相关。即使在调整年龄和性别后,心肺功能与整体DMN功能连接性的关联仍然显著;然而,在调整混杂因素后,与MPFC功能连接性的关联略高于显著性阈值(p=0.07)。本研究样本中未发现MVPADMN任何节点的功能连接性之间存在关联,且MVPA与心肺功能之间也无关联。

心肺功能与DMN功能连接性之间的关联与无DS人群中的当前文献一致,这些文献已确定心肺功能是DMN功能连接性的预测因子。例如,一项研究包括年轻成人(n=32,平均年龄约24.1岁)和老年成人(n=120,平均年龄约66.5岁),发现有氧健身与DMN中后扣带回皮层和内侧前额叶回之间功能连接性的增强相关。研究的结果表明,这种关联也可能适用于DS人群,即使在调整年龄后,心肺功能与整体DMN功能连接性之间的关联仍然显著。鉴于本样本中MVPAVOpeak之间也无关联,这可能表明与MVPA相比,心肺功能对DMN功能连接性更为重要。心肺功能与DMN功能连接性之间的关联机制尚未完全明确,但可能至少部分由心肺功能增强相关的大脑血流量增加、神经发生增加或大脑葡萄糖代谢改善来解释,而这些与MVPA无关。例如,心肺功能与大脑代谢效率和大脑氧利用效率相关,这可能影响大脑衰老。评估MVPA和心肺功能对大脑血流的影响(使用动脉自旋标记成像)对于确认本分析中观察到的结果是否由这种机制驱动至关重要。

还需要进一步研究以明确持续保持心肺功能水平的时长对这些潜在机制以及最终大脑功能的影响。例如,在一项包括120名老年成人(平均年龄66.5岁)的研究中,随机分配到有氧训练组或拉伸对照组,结果显示在1年后,有氧训练组的海马体积增加,这可能由于海马在DMN中的作用而影响DMN功能连接性。同样,在一项为期6个月的有氧训练计划后,59名健康老年成人(年龄在6079岁之间)的灰质和白质体积增加。在一次30分钟的骑行后,研究发现与学习和记忆相关的大脑区域的同步性增加;然而,目前尚不清楚这些急性增加的持续时间。尽管急性运动似乎能立即为大脑网络带来益处,但持续的运动可能对大脑结构和功能的变化至关重要。一般来说,目前尚不清楚在一般人群中或在DS人群中,需要持续多久的体力活动习惯或心肺功能水平,才能在DMN中看到益处,这应在未来的进一步研究中加以探讨。

MPFC参与多种认知过程,包括执行功能、工作记忆和情绪调节。在无DS的成人中,研究表明,与无认知障碍的对照组相比,轻度认知障碍患者的MPFC功能连接性减弱。先前的研究还表明,与低淀粉样蛋白负荷的参与者相比,无明显认知障碍但高淀粉样蛋白负荷的参与者MPFC的功能连接性降低,这表明这种降低的功能连接性可能表明阿尔茨海默病(AD)的临床前期阶段。本研究发现心肺功能与DS患者这一大脑区域的功能连接性相关,这可能表明心肺功能是针对DS患者AD和认知衰退的潜在保护因素。然而,鉴于本研究的横断面性质和样本量较小,未来应开展更大规模和纵向的研究来调查这种关联。未来的研究还应调查DS患者的MPFC功能连接性与淀粉样蛋白负荷之间的关联。

本研究未发现MVPADMN功能连接性之间存在关联。这与Voss等人在老年成人样本(n=189,平均年龄65岁)中的发现一致,他们得出结论,DMN的功能连接性与心肺功能呈正相关,但与习惯性的MVPA参与无关。这些结果表明,与MVPA参与相比,心肺功能可能对功能连接性更为重要,因为本研究中发现了心肺功能与功能连接性之间的关联。研究表明,心肺功能的决定因素包括许多体力活动参与之外的因素,如遗传因素。这可能是本研究未发现MVPA与心肺功能或MVPADMN功能连接性之间存在关联的原因。

一些研究表明,增加MVPA的干预措施可能对DMN功能连接性有益。一项针对典型发育的老年成人(n=65)的随机干预研究比较了12个月的有氧训练(步行)干预与灵活性、塑形和平衡干预的效果,观察到有氧训练组的几个DMN节点的功能连接性增加。然而,目前尚不清楚DMN功能连接性的这种变化是由于心肺功能的提高还是MVPA的增加。鉴于这种增加是在有氧训练组中观察到的,这些结果表明,需要增加有氧体力活动才能引发DMN功能连接性的变化。MVPA被定义为达到至少三个代谢当量(METs)的活动,相当于以中等速度行走,不太可能通过灵活性或平衡运动来实现。目前尚不清楚增加MVPA参与是否会对DS患者DMN功能连接性有益,这可以在未来的干预研究中加以调查。

本研究存在一些局限性,包括样本量较小和横断面分析。由于在母研究中,MRI检查是可选的,因此与母研究的样本量相比(约50%),完成该评估的样本量有限。与成像数据相关的另一个局限性是,一小部分参与者(9%n=3)没有可用的生理回归因子数据,因此在没有这种校正的情况下处理了他们的数据。纳入这些参与者是为了最大化可用样本量,一些研究表明,尽管在受试者水平的分析中受益于此类校正,但在组水平上这种校正的影响较小。因此,样本中只有一小部分未进行此类校正,不太可能显著影响结果。然而,未来的研究应确保完整的生理记录,以便对所有参与者进行统一的预处理。其他局限性包括样本主要为非西班牙裔白人,这限制了研究结果的普遍适用性。未来的研究应确保纳入不同种族和民族背景的人群,以了解这些发现对不同背景人群的影响。此外,本分析未考虑其他已知影响DS成人AD进展的因素,包括载脂蛋白EAPOE)基因分型。由于母研究要求参与者久坐不动,因此参与者之间的MVPAVOpeak的变异性很小;因此,未来的研究应纳入不同体力活动参与和心肺功能水平的参与者,以进一步调查这些关联。值得注意的是,与无智力障碍的人群相比,DS人群报告的久坐行为更多,MVPA更少。对于母研究,43名被排除在外的参与者中,有12人因基线时报告的体力活动过多而被排除(约27%)。然而,这也意味着有许多DS患者是积极参加体力活动的,应在未来的研究中纳入他们。目前尚不清楚,如果在样本中纳入更广泛的体力活动和心肺功能范围,本研究中发现的这些关联是否仍然显著。母研究的其他排除标准,包括那些功能能力较差的人(排除那些不能在没有帮助的情况下行走10英尺的人)和那些不能通过口头语言进行交流的人,也可能限制了研究结果。这些人群可能更容易出现功能连接性的下降,因此在未来的进一步研究中应纳入他们,以了解心肺功能对功能连接性的更广泛影响。最后,由于本分析的探索性本质,作为首次评估心肺功能与DMN功能连接性之间关联的研究,该研究没有对多重比较进行校正。本分析的优先事项是确定有意义的趋势,以为针对DS人群的未来研究提供信息。因此没有对多重比较进行校正,这可能会增加I型错误的风险。

有证据表明,心肺功能可能与DS成人的DMN功能连接性相关。未来的干预试验应检查增加心肺功能是否会导致DS成人的功能连接性以及随后的认知功能发生变化。

精读分享

研究背景与目的

唐氏综合征(DS)是导致智力障碍的最常见遗传原因。随着医疗护理的改善,DS患者的预期寿命显著增加,但几乎所有DS患者都会发展出与阿尔茨海默病(AD)相关的病理变化。研究显示,DS患者大脑中淀粉样蛋白βAβ)的过度产生加速了神经退行性变化和AD病理的发展。默认模式网络(DMN)是一组在休息状态下活动增加的大脑区域,其功能连接性(FC)在AD中受到干扰。在非DS人群中,心肺功能与DMN功能连接性相关,但在DS人群中尚未有研究。本研究旨在探讨DS成人心肺功能与DMN功能连接性之间的关系。

研究方法

2.1 数据来源与参与者

本研究使用了来自一项针对DS成人的体力活动试验的基线数据。参与者为18岁及以上的DS患者,居住在家中或支持性生活环境中。排除标准包括患有痴呆症、参与规律锻炼计划、有严重医疗风险等。最终,40DS患者完成了功能性磁共振成像(fMRI)扫描。

2.2 体力活动评估

使用ActiGraph wGT3XBT三轴加速度计评估中等至剧烈体力活动(MVPA),连续佩戴7天。通过Actilife软件分析数据,排除非佩戴时间和异常数据。

2.3 心肺功能评估

使用最大运动试验评估心肺功能(VOpeak),测量运动过程中的氧气消耗量。测试终止条件包括自愿疲劳、VO平台期等。

2.4 神经影像分析

使用3T Siemens Skyra扫描仪进行fMRI扫描,包括结构成像、静息态功能成像等序列。使用AFNI软件进行数据预处理和统计分析,提取后扣带回皮层(PCC)种子与DMN节点之间的功能连接性。

2.5 统计分析

使用皮尔逊相关分析和线性回归模型评估心肺功能和MVPADMN功能连接性之间的关系,调整年龄和性别因素。

研究结果

3.1 参与者特征

40DS患者,平均年龄26.0岁,58%为女性,平均BMI33.2 kg/m²,平均MVPA13.4分钟/天,平均VOpeak20.2 mL/kg/minMVPAVOpeak之间无显著关联(r=0.02p=0.89)。

3.2 心肺功能与DMN功能连接性的关联

心肺功能与整体DMN功能连接性(r=0.472p=0.004)和内侧前额叶皮层(MPFC)功能连接性(r=0.431p=0.010)显著相关。调整年龄和性别后,心肺功能仍是整体DMN功能连接性的显著预测因子(β=0.0072p=0.04),但与MPFC功能连接性的关联略高于显著性阈值(β=0.011p=0.07)。MVPADMN功能连接性无显著关联。

讨论与结论

本研究发现,DS成人的心肺功能与DMN功能连接性显著相关,而MVPADMN功能连接性无关。这一结果与非DS人群的研究一致,表明心肺功能可能是维持DS患者大脑功能的重要因素。心肺功能与DMN功能连接性之间的关联可能通过增加脑血流量、促进神经发生或改善大脑葡萄糖代谢来实现。未来的研究应进一步探讨心肺功能对DS患者大脑功能的长期影响,并评估增加心肺功能是否能改善DMN功能连接性和认知功能。

批判性思考与展望

本研究的局限性包括样本量较小、横断面设计以及参与者主要为非西班牙裔白人,限制了研究结果的普遍适用性。未来的研究应包括更大样本量、不同种族和民族背景的参与者,并考虑其他影响AD进展的因素,如APOE基因分型。此外,未来的研究应进一步探讨心肺功能与DMN功能连接性之间的因果关系,并评估干预措施对心肺功能和大脑功能的影响。

参考文献

Clina J G, Danon J C, Helsel B C, et al. The association between cardiorespiratory fitness and restingstate functional connectivity in adults with Down syndrome[J]. Alzheimer's & Dementia, 2025, 21(5): e70297.

解读:王淳

审核:吴金颖

上一篇:往期精彩|Brain:新发现!脑卒中失语症的动态网络重组过程
下一篇:往期精彩|NeuroImage:一种基于静态脑血流的功能性脑网络新方法